Explore the Full Potential of Our Products

File Retrieval by Hugo Sousa Dias

Single session retreatment in upper first premolar with separated instrument in palatal root.

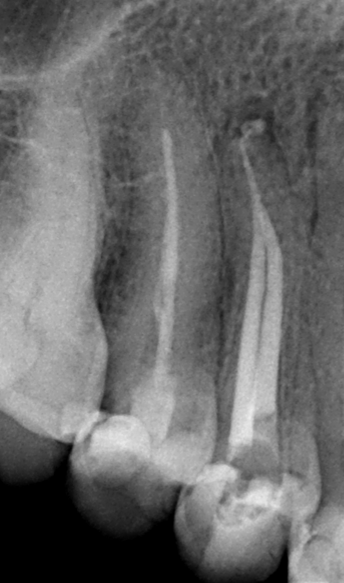
Hugos Case pre xRay

Pre-OP X-Ray

Retreatment of an upper first premolar with a separated instrument in the palatal root.
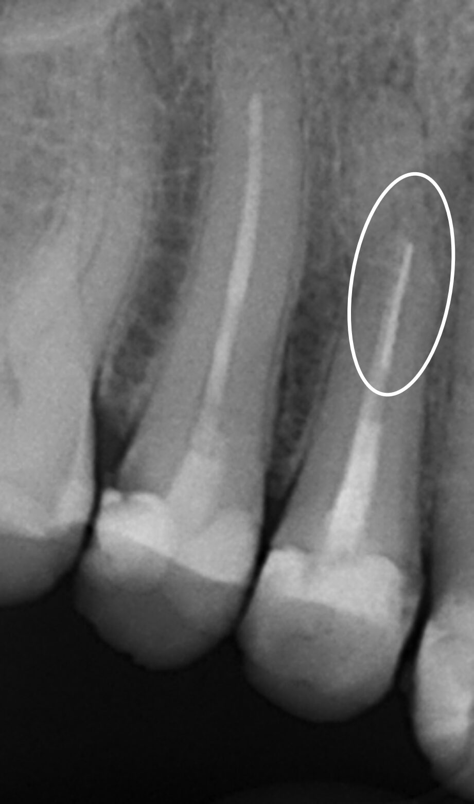
Hugo Case Post xRay

Post-OP X-Ray

The fractured file was
successfully removed.
EC Loop Hugo Case

Yellow Lasso 0.12mm

Captured file.

As a clinician with a strong focus on the complex management of separated instruments, I have spent years refining my clinical protocol to ensure consistency, safety, and maximum preservation of dentinal structure. Throughout this journey, I have explored and tested a variety of tools and devices to create a reliable and minimally invasive approach. The moment I incorporated the EndoCowboy into my practice marked a true breakthrough. The EndoCowboy has quickly become an essential part of my armamentarium, and I consider it an indispensable tool for any specialist who regularly faces the challenge of separated instrument retrieval.

Check out more

More Cases. More Insights. More Endo.

Shopping Cart