Unlock the Full Potential of Our Products

File Retrieval by Hugo Sousa Dias

The EndoCowboy® has quickly become an essential part of my armamentarium, and I consider it an indispensable tool for any specialist who regularly faces the challenge of separated instrument retrieval.

broken file

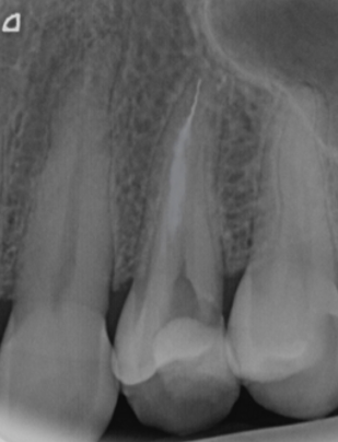
Pre-OP X-Ray

Retreatment of an upper premolar with significant loss of tooth structure and a separated instrument in the root canal.
Lasso the File

File Retrieval

In Action.
Case1 post

Post-OP X-Ray

Successfully removed file.
Broken file captured with the LassoTip Yellow (0.12 mm).

As a clinician with a strong focus on the complex management of separated instruments, I have spent years refining my clinical protocol to ensure consistency, safety, and maximum preservation of dentinal structure. Throughout this journey, I have explored and tested a variety of tools and devices to create a reliable and minimally invasive approach. The moment I incorporated the EndoCowboy into my practice marked a true breakthrough. The EndoCowboy has quickly become an essential part of my armamentarium, and I consider it an indispensable tool for any specialist who regularly faces the challenge of separated instrument retrieval.

Check out more

More Cases. More Insights. More Endo.

Shopping Cart